もじり歯科クリニック│赤平・滝川・芦別で矯正歯科治療・マウスピース矯正「インビザライン」なら

〒079-1263 北海道赤平市茂尻本町3丁目2
JR「茂尻駅」より徒歩8分/【駐車場5台】

診療時間
9:00~13:00 ×
14:00~18:00 × × ×

休診日:木曜午後、土曜午後、日曜、祝日

ご予約・お問合せはこちら

0125-32-1181
透明で目立たないマウスピース矯正
無料相談受付中!

透明で目立たない
マウスピース矯正

経験豊富な歯科医師が担当する
リーズナブルな矯正歯科治療

無料相談受付中!
お気軽にお問合せください

「短期間」「リーズナブル」な矯正歯科治療
赤平市でマウスピース矯正・インビザラインなら
もじり歯科クリニック

赤平市の「もじり歯科クリニック」では、マウスピース矯正「インビザライン」による矯正歯科治療を行っております。少しだけ気になっている歯並びを、月々6,300円~とリーズナブルなマウスピース矯正で改善できます。

少し気になる歯並びには
マウスピース矯正を

でこぼこした歯並び、すきっ歯、前歯の歯並びの乱れ、矯正歯科治療後の後戻りなど、お口全体ではなく、「部分的な歯並び」が気になっている方はいらっしゃいませんか?

私どもではマウスピース矯正「インビザラインGO」を導入し、歯並びを部分的に改善する「部分矯正」を行っております。お口の中全体の歯列を矯正する治療に比べ、期間が短い上にリーズナブルな価格で歯並びの改善が可能です。

透明で目立たないマウスピースタイプの装置を用いますので、従来のワイヤー矯正と比較して次のようなメリットを得られます。

  • 装置の取り外しが可能
  • 装置が透明で目立たない
  • 痛みが少ない

マウスピース矯正「インビザラインGO」は、患者さまのご負担を抑えた、気軽に取り組める矯正歯科治療です。ご興味のある方は、ぜひご相談ください。

インビザラインiGoによる症例のご紹介

当院では、赤平市、滝川市、芦別市などから矯正をご希望される患者様がご来院をされます。当院でインビザラインiGoを使用した歯列矯正を受けられた方の歯並びのビフォー、アフターをご紹介します。

経験10年以上の院長による

矯正歯科治療

当院の矯正歯科治療は、この分野で10年以上(※)の経験を持つ院長が担当しております。院長は、北海道内で多くのマウスピース矯正を行っている歯科医院での勤務経験があり、マウスピース矯正についてもそちらで学びました。

矯正歯科治療では、歯やあごの状態を把握した上で立案する緻密な治療計画が欠かせません。豊富な知識と経験を持つ院長なら、マウスピース矯正「インビザライン」で、キレイな歯並びを目指すことが可能です。

※2021年現在

月々6,300円~の
分割払いに対応

健康保険が使えず自費診療となる矯正歯科治療は、保険診療に比べてどうしても治療費が高額になりがちです。「歯並びを治したいのに、費用面が原因で我慢せざるを得ない」と言われる方も、少なからずいらっしゃいます。

そこで当院ではデンタルローンを導入し、月々6,300円(84回払い/税込)~とリーズナブルな価格での矯正歯科治療を可能にしました。お支払いのご負担を抑えながら、理想の歯並びを目指していただけます。

「少し気になる歯並び」を
気軽に改善

「前歯の一部分だけを治したい…」など、少しだけ気になっている歯並びは、マウスピース矯正「インビザラインGO」にお任せください。

「前歯だけ」など部分的な歯並びの乱れを、マウスピース矯正のメリットを活かしながら改善できます。装置が目立ちにくい上に、治療期間も最長20週と短く、気軽に始めていただけます。

難しい症例の方には、提携する大学病院や歯科医師をご紹介できますので、歯並びのお悩みはまず私どもにご相談いただければ幸いです。

治療後の歯並びを

事前にシミュレーション

私どもでは、矯正歯科治療の完了時の歯並びを事前に確認できる「シミュレーション」を実施しております。

さらに来院されなくても、スマートフォンを使ってご自宅で簡単に未来の歯並びをご確認いただける「Smile View」と呼ばれるシステムをご用意。顔写真を撮影するだけで、治療後の歯並びをシミュレーションできます。

歯科医院だけでなくご自宅でも治療完了時の歯並びが簡単にわかり、治療のモチベーションにつながることと思います。

虫歯・歯周病治療など

一般歯科診療にも対応

矯正歯科治療だけでなく、虫歯などの一般歯科診療も行っております。治療期間の長い矯正歯科治療は、途中で虫歯などのトラブルが起きる可能性も否めません。

その点当院では、虫歯・歯周病治療といった一般診療も行えるため、もしトラブルが発生してもすぐに対応が可能です。別の歯科医院を探す必要もありませんので、安心して治療を受けていただけるのではないでしょうか。

院長 湯淺 徹

はじめまして。赤平市「もじり歯科クリニック」院長の、湯淺 徹(ゆあさ とおる)と申します。

一人でも多くの患者さまに、矯正歯科治療を手軽に始めていただきたい。当院はそう考え、マウスピース矯正「インビザラインGO」による矯正歯科治療を行っております。この治療法は「部分矯正」と呼ばれる、歯並びの気になっている部分だけを整えるものです。

お口全体を改善する矯正歯科治療に比べて期間が短く済む上に、費用もリーズナブルに抑えられる点が、部分矯正の大きなメリットです。当院ではデンタルローンによる分割払いもご利用いただけますので、月々6,300円~治療を始めていただけます。また透明なマウスピースを使用するため、装置が目立つこともありません。矯正歯科治療に対するイメージがガラッと変わることと思います。

なお当院では、無料相談も実施しております。「私の歯並びはマウスピース矯正で治療できる?」など疑問や不安がありましたら、お気軽にご利用ください。スタッフ一同、ご来院をお待ちしております。

アライン・テクノロジー社が提供する「Smile View」は、お使いのスマートフォンからアクセスしてご自分の顔写真を撮影するだけで、治療後の歯並びをシミュレーションできます。治療期間中は、ご来院ごとに私どもでもシミュレーションを実施しておりますが、ご自宅でも手軽に確認いただくことが可能です。いつでも簡単に治療後の歯並びを見られますので、治療へのモチベーションにもつながるでしょう。

無料相談と精密な歯並びシミュレーション

矯正歯科治療をお考えの方に、無料相談を行っております。
(レントゲン撮影や基本検査など保険診療の費用は掛かってまいりますので、ご了承ください。)

無料相談では、まず「歯並びのどの部分が気になっているか」「そこをどのように改善したいのか」など、患者さまのお悩みとご希望をしっかりヒアリングします。

その後、マウスピース矯正の内容や治療の流れについてご説明します。

ご希望の方は有料で精密なシミュレーションができます

ご希望の方には、お口の中をシリコンを用いて歯型を採取します。

この歯型をアライン社のあるアメリカに送るとデジタルデータとなります。そのデータを元に歯科医師が治療計画を立てると、「Smile View」とは違い、患者さまの実際の歯並びシミュレーションを行うことができ、実際の歯の動き、治療期間などがわかります。

この精密検査を受けたら必ず当院で矯正歯科治療を受けなければならないわけではありません。

歯並びに不安をお持ちの方は、ぜひお気軽にご相談ください。

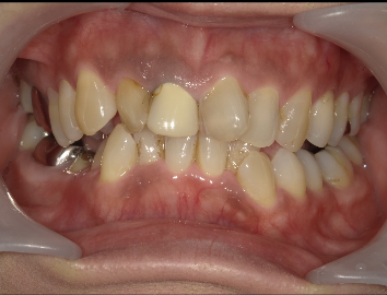
症例紹介①(歯のでこぼこ・上の前歯のねじれ)

Before
After

治療内容:インビザラインGOを使用し、全体的に内側に入り込んでいた歯列を外側に移動し、また上の前歯がねじれているのを矯正しました。

治療にかかった費用:税抜398,000円(税込437,800円)

治療の副作用:歯を動かすため少し痛みが生じる

注意事項:マウスピースを指定の時間以上正しく装着しないと治らない可能性がある

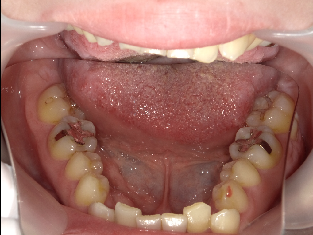
症例紹介②(正中のズレ・下の歯のでこぼこ)

Before
After
Before
After

治療内容:インビザラインGOを使用し、正中のそろえ、下顎のでこぼこを矯正しました。

治療にかかった費用:税抜398,000円(税込437,800円)

治療の副作用:歯を動かすため少し痛みが生じる

注意事項:マウスピースを指定の時間以上正しく装着しないと治らない可能性がある

新型コロナウイルス感染症対策の徹底

当院は厚生労働省から、厳しい施設基準をクリアした歯科医院のみが得られる「かかりつけ歯科医機能強化型歯科診療所」と「歯科外来診療環境体制」の認定を受けております。

この認定は、院内感染防止対策をしっかりと行い、より安全で適切な診療を可能にする設備を整えている医院だけが受けられるものです。患者さまに快適な治療をご提供できるよう、常に環境を整えております。

新型コロナウイルス感染症対策も

来院されたすべての方にご安心いただけるよう、私どもでは新型コロナウイルス感染症対策も徹底しております。

  • 診療室と待合室には殺菌効果が期待できる「次亜塩素酸水」の噴霧器を設置
  • ご希望の方には、次亜塩素酸水の霧吹きをご提供
  • 使用後のスリッパは次亜塩素酸水で拭き上げ
  • 厳しいヨーロッパ基準をクリアした高圧蒸気滅菌器(クラスBオートクレーブ)の使用

患者さまが不安なく診療を受けられるよう、常に安全を守るための対策を欠かしません。

部分的な歯並びの乱れを改善する「インビザラインGO」をはじめ、お子さまの「床矯正」や、「非抜歯矯正」にも対応しております。

丁寧なカウンセリングや精密検査を元に、一人ひとりに適した矯正歯科治療をご提供。アフターメインテナンスも継続していきます。

「矯正歯科治療に痛みはある?」「治療が終わるまでの期間は?」「虫歯があっても矯正できる?」などの疑問にお答えします。

個室のカウンセリングルームをご用意。クラスB滅菌器や口腔外バキュームなどの導入により、衛生管理も徹底的に行っています。

当院では矯正歯科治療でお悩みの方へ無料矯正相談を行っています。お電話かご予約フォームよりお気軽にご連絡ください。

0125-32-1181

診療時間

 
午前 ×
午後 × × ×

午前: 9:00~13:00
午後:14:00~18:00
休診日:木曜午後、土曜午後、日曜、祝日

0125-32-1181

〒079-1263
北海道赤平市茂尻本町3丁目2

JR「茂尻駅」より徒歩8分
または
北海道中央バス「茂尻小学校」下車すぐ